DICOM

Wofür steht DICOM?

DICOM, die Abkürzung für digitale Bildgebung und Kommunikation in der Medizin (Digital Imaging and Communications in Medicine), ist ein internationaler Standard für die Speicherung, Übertragung und Verwaltung medizinischer Bildgebungsinformationen und zugehöriger Daten. Es gewährleistet die Interoperabilität zwischen verschiedenen Bildgebungsgeräten und -systemen, beispielsweise MRI, CT, Ultraschall und Röntgengeräten, durch die Standardisierung des Bildformats und der für den Austausch verwendeten Kommunikationsprotokolle DICOM-Dateien enthalten typischerweise sowohl die Bilddaten als auch relevante Metadaten – beispielsweise Patienteninformationen, Aufnahmeparameter und Studiendetails – und sind damit für eine effiziente und präzise Diagnostik, Therapieplanung und Archivierung im Gesundheitswesen unverzichtbar.

Die wichtigsten Punkte

  • DICOM ist der am weitesten verbreitete Standard zur Speicherung medizinischer Bilder und zugehöriger Metadaten.
  • Der Standard gewährleistet die Kompatibilität und Kommunikation zwischen verschiedenen medizinischen Bildgebungsgeräten und Systemen im Gesundheitswesen.
  • Dieser ermöglicht Ihnen das Erfassen und Speichern multidimensionaler Bilddaten in einem einzigen Datenspeicher mit hohem Dynamikumfang (bis zu 16-Bit).
  • Die meisten Medizinproduktehersteller unterstützen den Standard vollständig. Er ist in Krankenhäusern und Kliniken weit verbreitet.

Das DICOM-Datenformat

Das DICOM-Datenformat speichert und überträgt medizinische Bilder und zugehörige Metadaten effizient in einer standardisierten Datei. Jede DICOM-Datei enthält in einer hierarchischen Struktur organisierte Datenelemente, darunter Tags, Datentypen, Längen und Werte. DICOM kapselt Bilddaten, etwa CT-, MRI-, Ultraschall- oder Röntgenaufnahmen, sowie Metadaten wie Patienten-ID, Aufnahmeparameter und Zeitstempel. Im Gegensatz zu allgemeinen Bildformaten wie JPEG und PNG ist DICOM speziell für den medizinischen Einsatz ausgelegt und unterstützt Multiframe-Bilder, 3D-Volumina sowie die Integration in Krankenhausinformationssysteme. Enhanced DICOM ist eine erweiterte Version, die moderne Bildgebungstechnologien sowie komplexe klinische Workflows besser unterstützt und damit für klinische Genauigkeit und Interoperabilität von zentraler Bedeutung ist.

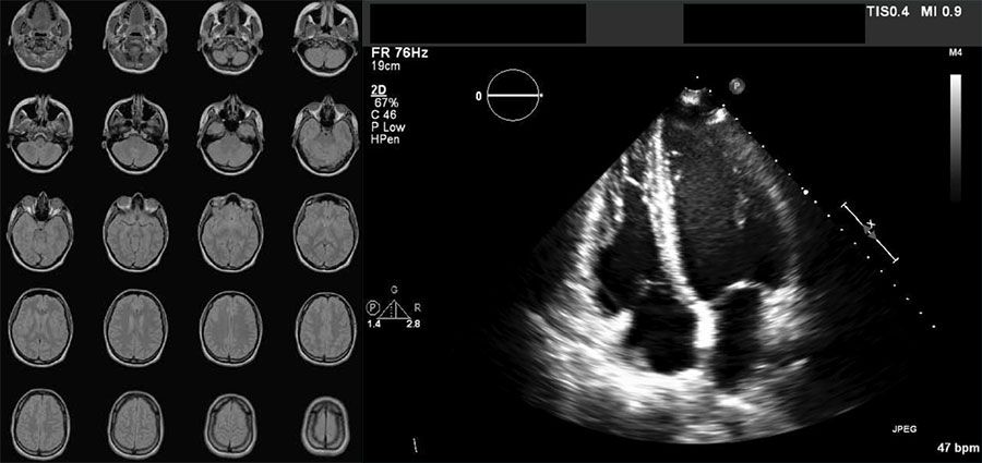
Beispiele für DICOM-formatierte Bilder: eine Serie von 20 Bildern aus MRT-Aufnahmen eines Gehirns und ein kardiales Ultraschallbild.

Im DICOM-Format gespeicherte MR-Bildserie eines Gehirns (links) und kardiale Ultraschallaufnahme (rechts).

Anwendungsbereiche von DICOM

DICOM ist in der Radiologie und in weiteren medizinischen Fachgebieten wie Kardiologie und Onkologie unerlässlich. Die Fähigkeit, Bilddaten mit detaillierten Metadaten zu kombinieren, macht DICOM ideal für die Integration in KI und Machine Learning und unterstützt fortgeschrittene Bildanalyse, automatisierte Diagnostik und klinische Entscheidungsunterstützung. Es spielt außerdem eine zentrale Rolle in der Telemedizin, da es den sicheren und effizienten Austausch medizinischer Bilder für Fernkonsultationen, Zweitmeinungen und kollaborative Versorgung ermöglicht, insbesondere in unterversorgten oder ländlichen Gebieten. Die Integration von DICOM in traditionelle und aufkommende Gesundheitstechnologien führt weiterhin zu einer Verbesserung der Patientenergebnisse und zur Straffung klinischer Workflows.

Verwaltung von DICOM-Daten mit MATLAB

Die effektive Verwaltung von DICOM-Daten erfordert bewährte Praktiken zur Speicherung, Sicherheit und Analyse. DICOM-Dateien sollten in einer strukturierten Verzeichnisstruktur gespeichert werden, die häufig in PACS (Picture Archiving and Communication System) integriert ist, um effizientes Auffinden und langfristige Zugänglichkeit sicherzustellen. MATLAB® ermöglicht das Arbeiten mit medizinischen Bildern in DICOM- und Enhanced-DICOM-Formaten sowie die direkte Kommunikation mit PACS-Servern. Es stellt leistungsfähige Funktionen zur Verarbeitung und Analyse von DICOM-Daten bereit, einschließlich Lesen, Schreiben, Visualisierung und Segmentierung medizinischer Bilder.  

Um Datensicherheit und Compliance sicherzustellen, insbesondere in Bezug auf HIPAA, DSGVO und andere Vorschriften, ist die Implementierung von Verschlüsselung, Zugriffskontrollen und der Anonymisierung von Patientendaten unerlässlich. Mit der Funktion dicomanon in MATLAB können vertrauliche medizinische Informationen aus der DICOM-Datei entfernt und eine neue Datei mit den abgeänderten Werten erstellt werden. Mit der Image Processing Toolbox™, der Deep Learning Toolbox™ und der Medical Imaging Toolbox™ können medizinische Bildgebungsworkflows automatisiert, Merkmale extrahiert und sogar KI-Modelle zur diagnostischen Unterstützung erstellt werden, wodurch MATLAB zu einer wertvollen Plattform für klinische Forschung und die Entwicklung von Medizinprodukten wird.

Screenshot mit transversalen, sagittalen, koronalen und 3D-Volumen-DICOM-Bilder einer Thorax-CT-Aufnahme mit Beschriftungen.

3D-Thorax-CT-Aufnahme im DICOM-Format visualisiert mithilfe des Medical Image Labeler in der Medical Imaging Toolbox. (Siehe Dokumentation.


Siehe auch: Medizinische Geräte, Medizinische Bildanalyse, Medizinische Bildsegmentierung, Medical Imaging Toolbox

Medizinische Bildgebung

MATLAB und Simulink für die medizinische Bildgebung

Mithilfe von MATLAB und Simulink können Sie Bildverarbeitungsalgorithmen und erklärbare KI-Modelle für die medizinische Bildgebung erstellen und medizinische Bildgebungsgeräte entwickeln.